SDU, Vol. 1, No. 1, julio-diciembre, 2025 • ISSN (en línea): 3117-2636 • ISSN: 3117-2628

Sitio web: https://revista.sdu.org.do/index.php/sdu/es

DOI:https://doi.org/

Masa quística inusual ocupando el meato uretral y glande: reporte de un caso raro en paciente joven

Unusual Cystic Mass Involving the Urethral Meatus and Glans: Case report of a rare condition in a young patient

Lourdes Fermín • Federico Suero • Pedro Lanfranco
Autor de correspondencia
Residente de Urología. Hospital Dr. Salvador Bienvenido Gautier. Santo Domingo, República Dominicana.
lourdesferminc@gmail.com
https://orcid.org/0009-0005-0192-498X
Afiliación: Urólogo. Hospital Dr. Salvador Bienvenido Gautier.
fgsuero@gmail.com https://orcid.org/0009-0002-3209-354X
Afiliación: Urólogo. Hospital Dr. Salvador Bienvenido Gautier.
urolanfranco@hotmail.com https://orcid.org/0009-0007-5435-556X

Como citar

Fermín L, Suero F, Lanfranco P. Masa quística inusual ocupando el meato uretral y glande: reporte de un caso raro en paciente joven. Sdu. 2025;1(1):35-40. Disponible en: https://revista.sdu.org.do/index.php/sdu/es/article/view/6

Resumen

  • Introducción: las lesiones quísticas del glande son poco frecuentes y pueden simular procesos neoplásicos o infecciosos, lo que dificulta su diagnóstico.

    Objetivo: presentar un caso de lesión quística benigna del glande con extensión al meato uretral, destacando la utilidad de la exéresis quirúrgica.

    Material y métodos: varón de 25 años con masa indolora y de crecimiento progresivo en el glande de 18 meses de evolución. Al examen se observó lesión quística de 1 cm parcialmente obstructiva del meato uretral. La uretrocistografía fue normal y el panel de ITS (PCR) resultó negativo. Se realizó exéresis completa de la lesión.

    Resultados: el estudio histopatológico confirmó quiste dérmico. La evolución postoperatoria fue favorable, con preservación de la anatomía y función uretral. A los 12 meses de seguimiento el paciente se mantenía asintomático y sin recidiva.

    Conclusiones: los quistes dérmicos del glande son inusuales. La exéresis quirúrgica permite diagnóstico definitivo, tratamiento eficaz y resultados satisfactorios.

Palabras clave

Abstract

  • Introduction: Cystic lesions of the glans are rare and may mimic neoplastic or infectious processes, making diagnosis challenging.

    Objective: To report a case of benign cystic lesion of the glans extending into the urethral meatus, emphasizing the role of surgical excision.

    Materials and Methods: A 25-year-old male presented with an 18-month history of a painless, progressive glans mass. Examination revealed a 1-cm cystic lesion partially obstructing the urethral meatus. Urethrocystography was normal, and STI panel (PCR) was negative. Complete excision was performed.

    Results: Histopathology confirmed a dermoid cyst. Postoperative course was favorable, with preserved urethral anatomy and function. At 12 months, the patient remained asymptomatic and without recurrence.

    Conclusions: Dermoid cysts of the glans are uncommon. Surgical excision ensures definitive diagnosis, effective treatment, and favorable outcomes.

Keywords

  • Introducción

    Las masas quísticas del glande representan una entidad clínica poco frecuente, especialmente en pacientes jóvenes. Su diagnóstico puede resultar complejo, debido a que pueden simular lesiones de origen infeccioso o neoplásico, lo cual genera incertidumbre diagnóstica y demora en el abordaje definitivo1, 2 . Entre las lesiones quísticas benignas más comunes en la región genital se incluyen los quistes epidérmicos, dermoides y de inclusión, aunque su localización en el glande es extremadamente rara3, 4 .

    La importancia de estos casos radica en la necesidad de establecer un diagnóstico diferencial preciso frente a otras entidades más agresivas, así como en la intervención quirúrgica temprana que permite confirmar la naturaleza benigna de la lesión y evitar complicaciones funcionales o psicológicas en el paciente5 . En este reporte, se presenta un caso clínico de un paciente joven con una masa quística en el glande, con extensión al meato uretral, cuyo estudio histopatológico confirmó la presencia de un quiste dérmico benigno.

    Materiales y métodos

    Se trata de un paciente masculino de 25 años, sin antecedentes médicos relevantes, que consultó por una masa indolora, de crecimiento progresivo, localizada en el glande, con aproximadamente 18 meses de evolución (Figuras 1a y 1b).

    Figura 1. Grapadora lineal vascular aplicada en bloque al pedículo renal.

    Figura 1. Grapadora lineal vascular aplicada en bloque al pedículo renal.

    • Examen físico: se evidenció una masa quística blanda, móvil, no dolorosa, de 1 cm de diámetro, que ocupaba parcialmente el meato uretral, sin signos inflamatorios locales ni secreción.
    • Estudios complementarios: uretrocistografía retrógrada: contorno regular de la uretra, sin defectos de llenado ni reflujo vesicoureteral (Figura 2a, 2b y 2c). Panel de infecciones de transmisión sexual por PCR: negativo. Procedimiento: se realizó exéresis quirúrgica completa de la lesión bajo anestesia local.
    • Análisis histopatológico: la pieza se envió para evaluación diagnóstica.

    Figura 1. Grapadora lineal vascular aplicada en bloque al pedículo renal.

    Figura 1. Grapadora lineal vascular aplicada en bloque al pedículo renal.

    Figura 1. Grapadora lineal vascular aplicada en bloque al pedículo renal.

    Resultados

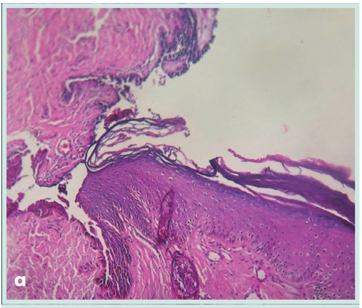
    El estudio histopatológico evidenció un quiste dérmico, con acantosis leve, vasos dérmicos dilatados y congestivos e infiltrado inflamatorio linfocitario crónico, hallazgos compatibles con lesión benigna (Figura 3a y 3b). En el postoperatorio inmediato, el paciente evolucionó satisfactoriamente,  con  cicatrización  adecuada y preservación de la anatomía y funcionalidad uretral. A los 12 meses de seguimiento, el paciente permaneció asintomático, sin recidiva tumoral ni complicaciones funcionales (Figuras 4a y 4b).

    Figura 1. Grapadora lineal vascular aplicada en bloque al pedículo renal.

    Figura 1. Grapadora lineal vascular aplicada en bloque al pedículo renal.

    Figura 1. Grapadora lineal vascular aplicada en bloque al pedículo renal.

    Figura 1. Grapadora lineal vascular aplicada en bloque al pedículo renal.

    Discusión

    Las lesiones quísticas benignas en el glande son extremadamente infrecuentes, siendo los reportes en la literatura escasos6, 7. Su presentación clínica puede confundirse con procesos neoplásicos, condilomas o quistes de inclusión, lo cual genera un reto diagnóstico para el urólogo8. El caso presentado corresponde a un quiste dérmico, entidad que se origina a partir de restos embrionarios ectodérmicos atrapados durante el desarrollo9 . Su diagnóstico definitivo solo es posible mediante histopatología, ya que las imágenes y la exploración clínica no permiten descartar otras etiologías con certeza.

    El tratamiento de elección es la exéresis quirúrgica completa, que cumple una doble función: diagnóstica y terapéutica. Este abordaje evita recurrencias, mejora la función miccional y preserva la estética genital, factores especialmente relevantes en pacientes jóvenes. En el caso descrito, la evolución favorable sin recidiva a 12 meses refuerza la importancia de la cirugía temprana y del seguimiento clínico adecuado10.

    Conclusiones

    1. Los quistes dérmicos del glande son lesiones raras que deben considerarse dentro de los diagnósticos diferenciales de masas genitales en pacientes jóvenes.
    2. La exéresis quirúrgica es fundamental para confirmar el diagnóstico y prevenir complicaciones.
    3. El reporte de casos clínicos contribuye al reconocimiento de estas entidades infrecuentes y orienta a los urólogos en la toma de decisiones diagnósticas y terapéuticas.

Referencias

  1. Sánchez-García S, et al. Lesiones quísticas benignas en pene: diagnóstico diferencial. Actas Urol Esp. 2021;45(7):493-9.
  2. Ramírez-Vargas R, et al. Presentación inusual de quistes genitales en pacientes jóvenes. Rev Mex Urol. 2020;80(5):1-6.
  3. Ortega-García M, et al. Lesiones benignas del pene: revisión actualizada. Arch Esp Urol. 2022;75(9):823-31.
  4. Ledesma-Martínez E, et al. Diagnóstico diferencial de lesiones del glande en adultos jóvenes. Rev Chil Urol. 2021;86(2):110-6.
  5. Pérez-Muñoz C, et al. Manejo quirúrgico de quistes genitales raros: reporte de dos casos. Rev Colomb Urol. 2023;32(1):45-51.
  6. Kim YJ, Kim MK. A rare case of glanular epidermoid cyst in a young adult: A case report. J Med Case Rep. 2019;13(1):15-8.
  7. Limaye RD, et al. Dermoid cysts of the glans penis: literature review and case discussion. Urology. 2020;142:223-7.
  8. Álvarez-Peña M, et al. Lesiones tumorales del glande: actualización en diagnóstico y tratamiento. Arch Esp Urol. 2021;74(10):935-44.
  9. Bhatt NR, et al. Dermoid cysts of the male external genitalia: report of cases and review. Case Rep Urol. 2020;2020:1-5.
  10. Romero-Hernández A, et al. Manejo integral de lesiones benignas raras del pene. Arch Esp Urol. 2024;77(1):55-62.